Call

Numery do naszych klinik

Oddział Centrum

570 383 818

Oddział Chełm

664 150 349

Oddział Jasień

516 588 648

Oddział Morena

516 588 665

Oddział Przymorze

516 588 643
Leave number - we call you!

    Leave number - we call you

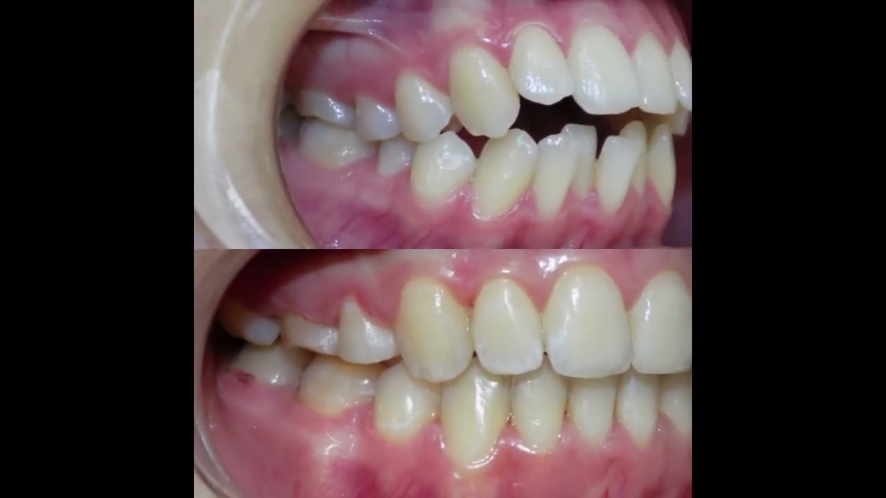
    Orthodontics

    Orthodontics deals with correction of irregularities of teeth, such as malocclusion and maxillo-facial defects. Orthodontic treatment is undertaken in patients of any age due to preventive and aesthetic factors. The goal of orthodontic treatment is to restore a harmonious smile and improve facial features by proper alignment of teeth and the mandible. Fixed and removable braces are used in the therapy.

     

     

     

    Consultation schedule:

     

    •  at the first visit, the dentist assesses the type of the defect; then, on the basis of panoramic cephalometric radiographs, the dentist proposes the most beneficial treatment variant;

     

    • the second visit is intended to discuss the treatment plan. If alternative treatment methods are available, the patient has time to think about the final option; at every stage of the consultation, the patient can ask any questions to, and have any doubts dispelled by the specialist;

     

    • at the third visit, a fixed or removable braces are fixed, which takes from 30 minutes to 1 hour.

    We offer a few types of braces:

     

    • Removable braces: it is recommended primarily for children of 4 to 12 years of age, so before milk teeth are replaced with permanent teeth. The braces consist of an acrylic baseplate and wire loops matching the teeth shape. It allows for correcting the excessive forward or backward inclination of teeth. The treatment efficiency for such braces depends on the cooperation between the patient and the orthodontist.

     

    • Standard mini fixed braces: currently, mini-braces are the most popular braces of all those worn by patients. Lower by 30% than traditional braces, they are more comfortable and less noticeable than traditional full-size braces.

     

    • Fixed braces, crystalline brackets: a cosmetic and elegant fixed braces with brackets made of clear sapphire; it is almost invisible. Made of sapphire crystals, they are transparent; thus, they have become one of the most popular choices in the aesthetic dental therapy.

     

    • Invisible braces: Clear Aligner is an innovative method for correcting malocclusions using transparent splints which straighten your teeth. The overlays are almost invisible and extremely aesthetic. They are made of soft material and do not cause any inconvenience or discomfort to patients in everyday use. The advantages of the overlays:

     

      • they are transparent, thus, invisible
      • by wearing them on your teeth, you can normally laugh and talk
      • they do not have any metal elements
      • their surface is smooth
      • they can be removed for eating or cleaning and then easily put in back
      • they are cleaned with a toothbrush and a toothpaste
      • this is a painless and non-invasive treatment method
      • their regular wearing guarantees high treatment efficiency

    Types of brackets

     

    • metal (titanium) brackets
    • transparent (crystalline) brackets

     

    Damon brackets

     

    • self-ligating braces which do not require wire retying are gentle for teeth and tissues
    • the advanced technology, wires with shape memory which quickly move teeth and require less adjustment and follow-up visits
    • clinically confirmed results of the therapy which does not only straighten your teeth but also improves your face aesthetics

     

     

      Application form

      Complete the form and make the appointment!

      Our consultants will call you back